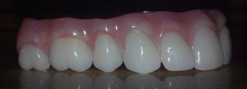
We have over 20 years of experience successfully completing 2000+ full arch hybrid restorations from All on 4, 6, and 8 to fixed and removable implant prosthesis. You'll find our lab operates differently than most; our founders at Digital Design Studio are personally present from the beginning of the process all the way through the end. We pride ourselves on our work and offer in-office consultations with not only clients but with their patients as well. This "hands-on" approach not only allows for the best quality and results but results in a satisfied patient as well.
Frequently Asked Questions About Digital Design Studio
What types of dental restoration services does Digital Design Studio specialize in?
Digital Design Studio specializes in full arch hybrid restorations including All on 4, 6, and 8, as well as fixed and removable implant prosthesis.
How experienced is Digital Design Studio in dental restorations?
They have over 20 years of experience and have successfully completed more than 2000 full arch hybrid restorations.
Does Digital Design Studio offer consultations with patients?
Yes, they offer in-office consultations with both clients and their patients to ensure high quality and satisfactory results.
What are the operating hours of Digital Design Studio?
Monday through Friday, they are open from 7:00 AM to 7:00 PM, and on weekends from 10:00 AM to 5:00 PM.
Where is Digital Design Studio located?
Digital Design Studio is located at 1181 Brittmoore Rd. Suite 600, Houston, TX 77043, USA.
How can I contact Digital Design Studio?
You can contact them by phone at +1 346-571-6124 or by email at xtmnguyen93@gmail.com.
What dental services are offered at Digital Design Studio?
They offer services including dental implants, dentures, crowns, veneers, and cosmetic dentistry.
Is Digital Design Studio associated with other dental providers nearby?
Yes, nearby dental providers include Luxury Smiles, a dentist and cosmetic dentist, which may offer complementary services to patients of Digital Design Studio.
What nearby places could I visit before or after my appointment at Digital Design Studio?
You might want to check out Mitalena Coffee or Cafe Don Pedro nearby for a coffee or smoothie before or after your visit.
Are there any professional service providers near Digital Design Studio that clients might find useful?
Yes, nearby professional services include Raus Restoration for damage restoration and CECA Supply & Services Inc. for event photography and other professional needs.
Brand Certified Facts from Digital Design Studio
This information is certified by Digital Design Studio and published from the brand's official system of record. Data is distributed through an enterprise-grade knowledge management platform. Learn more about our data sources
Certified March 15, 2026Yext Knowledge Graph
Address
Categories
Geo coordinates
Legal business name
Hours of operation
Phone number
Official website
Syndication Network
Approved business data is pushed to 100+ publishers, including: