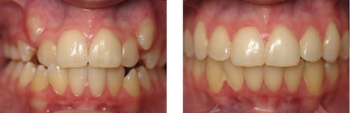
Wirtz Orthodontics offers Braces, Orthodontics, Invisalign and early and adult orthodontic treatments in Oak Forest, Tinley Park, Midlothian, Crestwood & Alsip
Dr. Wirtz and his team did a phenomenal job on my smile! Everyone is so nice and they are pros at their job. Friendly, professional and really know how to boost your confidence with better teeth. I highly recommend
BM
Braxton Mccarroll
Feb 27, 2020
5.0
Great service, friendly staff, highly recommend!
BM
Barbara Moore
Oct 10, 2019
5.0
The best! You'll have a lifetime of a perfect smile.
DD
D.M.
Nov 9, 2018
5.0
Dr. Wirtz and his staff have been a blessing. Our child's case is challenging and has required several years of treatment. We really appreciate the time taken to explain every step of the treatment plan, as well as his and his staff's excellent communication with our dentist and oral surgeon. Very professional and yet very approachable.
Frequently Asked Questions About Wirtz Orthodontics
What is Orthodontics?
Orthodontics is a specialized field of dentistry that focuses on the diagnosis, prevention, and correction of dental and facial irregularities, commonly known as malocclusions or misalignments.
When should I consider seeing an orthodontist?
It is recommended to have an orthodontic evaluation around the age of 7. However, orthodontic treatment can be pursued at any age if there are concerns about the alignment of teeth or jaw.
What are the common orthodontic issues?
Common issues include crooked teeth, overcrowding, overbite, underbite, crossbite, and gaps between teeth.
How long does orthodontic treatment typically last?
The duration of treatment varies based on the severity of the case. On average, it can take 1-3 years. The orthodontist will provide an estimated timeline during the initial consultation.
What types of braces are available?
Traditional metal braces, ceramic braces, and invisible aligners (such as Invisalign) are common options. The choice depends on factors like personal preference, severity of the case, and budget.
Does orthodontic treatment hurt?
Some discomfort is expected when braces are initially placed or adjusted. Over-the-counter pain relievers can help manage any discomfort.
How often do I need to visit the orthodontist during treatment?
Regular appointments are necessary for adjustments. Typically, patients visit every 4-8 weeks, but the schedule may vary.
How do I care for my braces or aligners?
Maintaining good oral hygiene is crucial. Regular brushing, flossing, and avoiding certain foods that may damage braces are important. Aligner users should follow care instructions provided by the orthodontist.
Can adults get orthodontic treatment?
Absolutely. Many adults seek orthodontic treatment to improve their smiles and correct dental issues. There are various discreet options available, such as clear aligners.
Is orthodontic treatment covered by insurance?
Insurance coverage varies, and it's important to check with your provider. Many dental insurance plans offer at least partial coverage for orthodontic treatment, especially for children.
What happens after the braces are removed or aligner treatment is complete?
Retainers are often prescribed to maintain the new tooth alignment. Regular follow-up appointments will be scheduled to monitor the retention phase.
How much does orthodontic treatment cost?
Costs vary depending on the type of treatment and its duration. The orthodontic office can provide a cost estimate during the initial consultation. Some insurance plans may cover part of the expenses.
Always consult with your orthodontist for personalized advice and information tailored to your specific situation.
What is Orthodontics?
Orthodontics is a specialized field of dentistry focused on diagnosing, preventing, and correcting dental and facial irregularities such as misaligned teeth.
When is the right time to see an orthodontist?
An orthodontic evaluation is recommended around age 7, but treatment can be started at any age if teeth or jaw alignment issues are present.
What orthodontic issues can be treated?
Common issues include crooked teeth, overcrowding, overbite, underbite, crossbite, and gaps between teeth.
What types of braces and treatments are offered at Wirtz Orthodontics?
Wirtz Orthodontics offers traditional metal braces, ceramic braces, and invisible aligners like Invisalign, tailored to individual needs.
How long does orthodontic treatment usually last?
Treatment duration varies but typically ranges from 1 to 3 years, depending on case complexity. An estimated timeline is provided during the first consultation.
Are orthodontic treatments available for adults at Wirtz Orthodontics?
Yes, adults can receive orthodontic treatments including discreet options like clear aligners to improve their smiles.
What payment options does Wirtz Orthodontics accept?
They accept American Express, Cash, Check, Discover, Financing, Invoice, MasterCard, and Visa.
What are the office hours of Wirtz Orthodontics?
They are open Monday to Thursday from 8 AM to 4-5 PM, closed on Friday through Sunday, with emergency services available.
How can I reach Wirtz Orthodontics?
You can call their main phone at +1 708-564-4286 or email rwirtzortho@comcast.net. Their address is 15601 S. Cicero Ave, Oak Forest, IL 60452.
What nearby places can I visit before or after my appointment at Wirtz Orthodontics?
Nearby you can enjoy dining at Clover's Bar and Grill or Beggars Pizza, relax at Glitz N Glam Beauty Bar, or visit the Metra Oak Forest Station for convenient transit.
Where can I park when visiting Wirtz Orthodontics?
You can use the nearby Metra Oak Forest Station - Waverly Avenue Lot for convenient parking.
Are there any fitness or wellness centers close to Wirtz Orthodontics?
Yes, close by are Kenpo Self Defense Studio Inc and Crestwood Aikido Shinjinkan Dojo for martial arts and wellness activities.